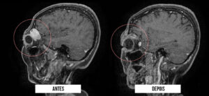
O Hospital Metropolitano Dom José Maria Pires – unidade pertencente à rede de saúde do Governo da Paraíba e gerenciado pela Fundação Paraibana de Gestão em Saúde (PB Saúde) – realizou, por meio da equipe de neurocirurgiões, a remoção de um tumor orbitário (região da órbita ocular, que se trata da cavidade anterior do crânio), em uma paciente de 55 anos, do município de Sousa. No procedimento exitoso, foi utilizada pela primeira vez a técnica endoscópica transorbitária, minimamente invasiva, que evita a abertura do crânio, e possibilita uma recuperação mais rápida ao paciente.
De acordo com o neurocirurgião responsável pelo procedimento, Breno Câmara, a técnica inovadora substitui a maneira convencional de retirada deste tipo de tumor, que é através de uma craniotomia, procedimento incisivo no couro cabeludo que pode trazer problemas funcionais e estéticos. “Utilizando o endoscópio de base de crânio, realizamos uma pequena incisão de menos de 3 centímetros na pálpebra superior da paciente o que possibilitou a visualização do campo cirúrgico através do endoscópio, e desse modo fizemos toda a remoção, com a garantia de trauma cirúrgico mínimo e com possibilidade de alta hospitalar em 48h”, destacou o especialista em tumores de base de crânio.

“Eu sou a felizarda”, disse Maria Aparecida Dias, expressando a alegria de alcançar a cura através do procedimento. “Há oito meses, eu vinha sentindo dor de cabeça frequente, mal-estar, ânsia de vômito e tontura. O oftalmologista disse que a dor que eu sentia não estava relacionada à minha visão. Então eu fui para uma consulta com o neurologista da minha cidade (Sousa), que descobriu que tinha um tumor por trás do meu olho, e me regularam para ser atendida pelos doutores aqui do Metropolitano. E eu estou muito feliz por ter dado tudo na minha cirurgia. Desde que cheguei até agora todos me atenderam muito bem, com muito amor e carinho, está sendo maravilhoso”, narrou a avó do pequeno Caio, que na tarde dessa terça-feira (23), pôde abraçá-lo, após a alta hospitalar.
O resultado clínico de Maria Aparecida foi excelente, segundo o neurocirurgião Eduardo Guedes. “A paciente teve sua lesão completamente ressecada, encontra-se sem sequelas e a incisão apresenta estética excelente. Vale destacar que, além dos benefícios para a paciente, a técnica reduz custos hospitalares, pois não houve a necessidade de qualquer material OPME (aquisição específica para uma cirurgia), e os custos relacionados à internação também reduz, pois o período é bem mais curto”, frisou.
Segundo o diretor técnico do hospital, Matheus Agra, desde o primeiro ano de funcionamento da unidade, foi criado o serviço de base de crânio, que já tratou centenas de pacientes. “O nosso neurocirurgião Daniel Ronconi criou o serviço há quase 5 anos em nossa instituição, e junto à equipe realizou intervenções em pacientes com lesões complexas e graves, e não só em adultos, mas também em crianças com patologias raras. Vale ressaltar que, desde o primeiro contato com o paciente, ainda no ambulatório, até o momento da alta, há profissionais das mais distintas áreas buscando ofertar uma assistência que garanta uma melhora na qualidade de vida daqueles que buscam o nosso serviço”, discorreu o gestor.
Para o diretor-superintendente da Fundação PB Saúde, Ari Reis, esse tipo de cirurgia mostra o avanço e qualificação nos serviços prestados pelo SUS na Paraíba. “É muito valioso utilizar técnicas que garantem um acesso cirúrgico mais preciso e menos traumático. Ficamos felizes, pois este é mais um procedimento que entra para a rotina do Hospital Metropolitano, possibilitando que outros pacientes sejam beneficiados”, ressaltou.
Neurocirurgia – De janeiro até outubro deste ano, o Hospital Metropolitano Dom José Maria Pires já realizou mais de 1.160 cirurgias neurológicas. Sendo mais de 1.100 em adultos e cerca de 50 pediátricas.
Secom








